De uitslag na de operatie

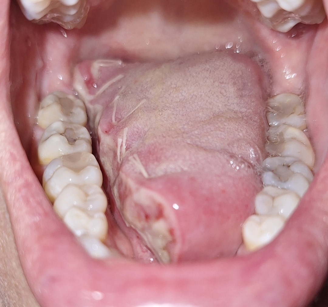
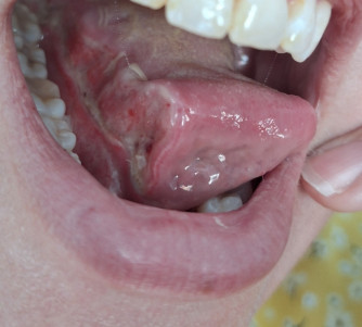
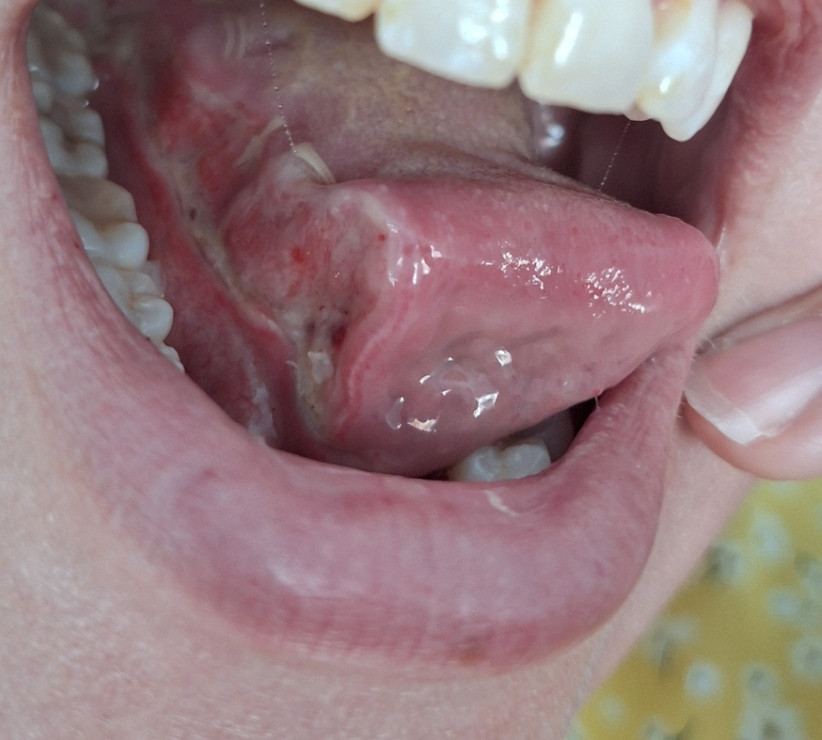
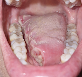
13 juni 2025 ben ik geopereerd aan de plaveiselcelcarcinoom op de tong en de schildwachtklierprocedure is uitgevoerd. 

Eenmaal terug op de afdeling ging het best goed. Pijn was minimaal en prima te doen met PCM en Naproxen. Wel veel hoofdpijn door de narcose. Ik had echt de hel verwacht maar dit was echt goed te doen. Praten ging ook best goed. Langzaam en vrij monotoon maar er kwam in ieder geval geluid uit. Heel fijn want dat vond ik toch best spannend. De eerste paar uur durfde ik nog niet de tong te bekijken. Wat zou ik aantreffen? Ze hebben het met een laser weggesneden en vervolgens gehecht. Maar het zag er best oke uit. Ook de hechtingen in de hals zaten netjes in de halslijn. Daar zie je over een tijdje niet meer zoveel van. Maar goed, er moest ook wel weer wat gegeten worden. Wat een spannend moment. Het lukte mij om stukjes brood met jam in stukje van 1cm bij 1cm naar binnen te krijgen en volgens een ritme door te slikken. Na een half uur had ik toch 1 snee brood op! Yes, wat was ik trots!  Veel ijswater en koude thee. Melkachtige producten gaf veel slijmvorming dus die werden even weggelaten. Smootie's waren nog te zuur. Heldere afgekoelde soep deed het ook goed. 

Na 2 dagen in het ziekenhuis mocht ik lekker naar huis. De terugweg was pittig. We moesten een uur rijden. 25juni zou ik de uitslag horen of de snijmarge van de tong voldoende was en of de schildwachtklieren schoon waren. Echter werd ik die dag gebeld dat de uitslag er nog niet compleet was en ik dus ook niet besproken kon worden op de MDO. Ik moest een week wachten. Tuurlijk, super balen maar liever dat het goed wordt nagekeken.

Ondertussen ging het herstel thuis best goed. Het eten nam best veel tijd in beslag omdat het vrij langzaam ging. Praten ging best goed. Wel erg wennen dat je een stukje mist. Hij boog wat af naar links en dat probeer je steeds de corrigeren wat natuurlijk niet lukt. Pijn heb ik minimaal gehad. Mijn hals was behoorlijk gezwollen, omvang kalkoen. Maar dit werd in de loop van tijd minder dik en qua kleur trok het weer bij. Doordat ik mogelijk wel wat zenuwen onder de huid zijn geraakt heb ik geen gevoel onder mijn kin. 

Toen was het 2 juli, de dag dat de uitslag binnenkwam. Aan het einde van de middag ging de telefoon. De snijmarge van de tong was niet voldoende. Ze hadden verwacht dat de tumor een knobbel zou zijn, de doorsnede was 24mm, het blijkt echter een soort spin te zijn met kleine haartjes die zich verder nestelt. Ze komen bij 1 haartje 2mm te kort van de snijmarge. Echt millimeter werk dus. Als dit het enige zou zijn kun je afwegen om het zo te laten (omdat de snijrand in feite schoon is maar dus niet voldoende) en het vaak te controleren. Echter is er in 1 schildwachtklier toch een uitzaaiing gevonden. Niet schoon dus. Het omliggende gebied in de hals moet dus wederom ook geopereerd worden en verder "schoongemaakt". De arts stond zelf ook te kijken van de uitslag maar zoals hij zelf zegt "Als we nu niks doen staan we over een paar maanden 1-0 achter en is de wedstrijd gespeeld. Nu staan we nog met 1-0 voor en moeten we er voor gaan.... " Dat betekent dat de operatie in een iets kleinere variant weer opnieuw moet voor de tong en er volgt een halsklierdissectie aan de rechterkant. Behoorlijk k#t want de laatste dagen ging het herstel echt wel de goede kant op en de kans op uitzaaiingen was erg klein. Het is en blijft eng dat er zoiets in de lichaam kan groeien wat er niet hoort. De arts verwacht de operatie opnieuw te kunnen uitvoeren op vrijdag 18 juli. Maar ook dit onder voorbehoud. Hopelijk hoor ik volgende week de definitieve datum. Deze zagen we niet helemaal aankomen, de bubbels lagen al klaar in de koelkast en de champagne glazen waren gepoetst. Deze teleurstelling moeten we weer even een plekje gaan geven  en ons weer oppeppen voor de volgende operatie .