Over mij

Op 31-jarige leeftijd stond mijn leven abrupt stil met de diagnose van een extreem zeldzame vorm van kanker. Wat gaat er door je heen wanneer de onzekerheid je volledig overneemt en je moet vechten in de stilte van een ziekenhuiskamer? En hoe vind je de kracht om te blijven vechten?

​Ik deel hier mijn ervaringen over deze ziekte. Dit blog is mijn plek om te verwerken: de angst, de veerkracht, de bijwerkingen van de chemo en de rouw die er onverwacht bijkwam. Bovenal hoop ik hier mensen te ontmoeten die in een soortgelijke situatie zitten.

Over mijn ziekte

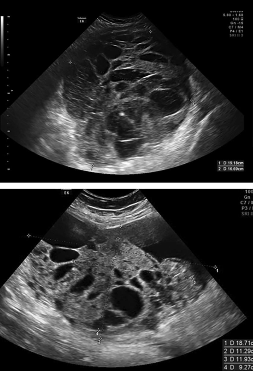
​De diagnose is een dooierzaktumor (Yolksac Tumor), een zeldzaam subtype binnen de kiemceltumoren. Om de zeldzaamheid in context te plaatsen: kiemceltumoren zijn goed voor slechts ongeveer 3% tot 5% van alle eierstoktumoren bij volwassen vrouwen.